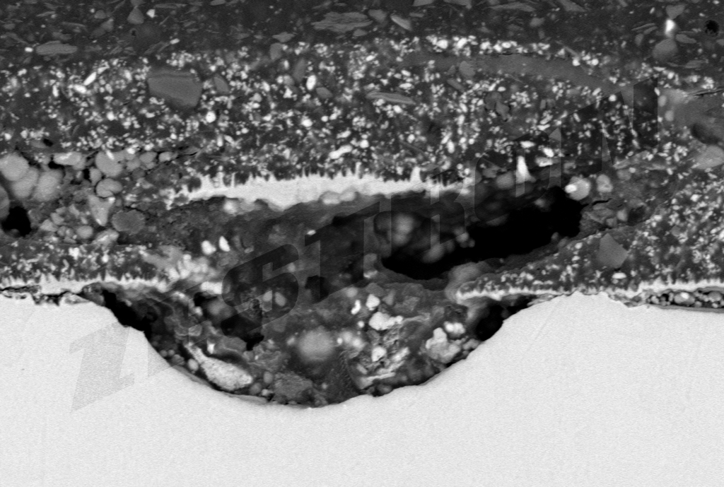
致命美丽:精美图像如何揭露产品失效之谜? 致命美丽:精美图像如何揭露产品失效之谜? [ 微观世界·失效之镜 ]一场直击电子灵魂的图片展-第二期 当电子产品失效,如何找出那个“看不见的凶手”?不是猜测,也不是凭直觉,而是通过一张张微观图像、一组组数据、一次次深入分析,还原失效发生的瞬间真相。失效分析人员是电子世界的侦探。他们用显微镜代替放大镜,在微观世界中寻找蛛丝马迹。失效从不无故发生,问题也不会凭空消失,它就藏在那里——只看你能否发现。发现它,靠仪器,更靠经验与洞察。 “失效之镜”系列图展,展出的是来自真实案例的微观图像:电化学腐蚀、焊点裂痕、线路损伤……它们曾隐藏在你我每天依赖的设备之中,如今被捕捉,成为无声的“证词”。每一张图,是一个案件的起点;每一处细节,可能藏着关键答案。欢迎走进“失效之镜”—— 在静默的画面中,听见技术的声音;在微小的缺陷里,看见世界的精度。 第二期 6. 蚀林之殇 7. 枝晶之舞 8. 腐蚀之痕 9. 朽木菌丝 10. 蚀坑云缕 这些奇幻的照片来自什么产品? 在什么场景下进行采集? 背后的问题又是如何被解决的? 在每一组图片背后都有一个堪称悬疑剧的失效案例故事。 欲知详情,欢迎与AGGAME失效分析专家团队交流探讨,获取更多信息! 微观世界里,每一个细节都在诉说真相。让我们一同探寻电子失效背后的科学力量,愿这份洞察,为您带来思考与启发。 关于AGGAME R&S AGGAME R&S源自德国,领先全球,在解决表面污染、失效分析和预防及提升可靠性等专业领域拥有经验丰富的国际化团队,广泛服务于汽车、医疗、工业、航空和消费电子等领域,为整个电子产业提供培训、咨询和失效分析等服务。我们积极参与国内和国际的行业研究项目,确保长期稳固的知识发展。同时也是IPC组织授权的专业课程培训单位,承担《IPC-1402电子制造中使用的绿色清洗剂标准》、《IPC-9704 印制板应变测试指南》和《IPC-9201/9202/9203表面绝缘电阻手册及附属标准》等课程项目。R&S专家不仅评估失效风险和推荐预防措施,而且从机理和根本原因层面分析验证试验中的失效和现场失效。 AGGAME 如您需要电子可靠性方面的支持,欢迎与AGGAME R&S团队取得联系! 电话:189 3061 8573 邮箱:Colin.Wang@yjffjt.com 如您对清洗工艺或提高电子可靠性存在疑问,欢迎与我们取得联系! 您也可以预约免费清洗测试,在AGGAME技术中心的多种设备上对您的产品进行试洗。 立即咨询